Phẫu thuật thành công lấy khối u máu hiếm gặp trong họng cho bệnh nhi 14 tuổi
Phẫu thuật thành công lấy khối u máu hiếm gặp trong họng cho bệnh nhi 14 tuổi
Mới đây, các bác sĩ Khoa Tai Mũi Họng – Bệnh viện Đa khoa Hà Đông (Hà Nội) vừa phẫu thuật thành công cho bệnh nhi 14 tuổi mắc u máu Amidan trái, một bệnh lý hiếm gặp, tiềm ẩn nguy cơ chảy máu và chèn ép đường thở nếu không được phát hiện và điều trị kịp thời.
Người nhà bệnh nhi N.C.K. (14 tuổi, trú tại phường Dương Nội, quận Hà Đông, Hà Nội) cho biết, trong thời gian dài em cảm thấy nuốt vướng một bên họng, khó chịu nhưng không nói với gia đình. Trong lần đi khám răng, bác sĩ nha khoa phát hiện khối bất thường vùng Amidan trái nên khuyên gia đình cho em đi khám chuyên khoa Tai Mũi Họng.
Khi đến Bệnh viện Đa khoa Hà Đông, các bác sĩ ghi nhận ở hốc Amidan trái có khối màu tím sẫm, mềm, có cuống, di động, không sùi loét, ấn không đau. amydal phải hoàn toàn bình thường.

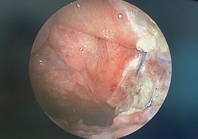
Hình ảnh khối u của bệnh nhi
Theo đánh giá ban đầu của các bác sĩ đây là khối u dạng u máu ở Amidan bên trái. Các bác sĩ chỉ định chụp cắt lớp vi tính (CLVT) hệ thống mạch cảnh, kết quả cho thấy đây là khối u nghi u máu, được cấp máu từ tĩnh mạch cảnh trong bên trái.
Trước nguy cơ khối u có thể to dần và chảy máu bất kỳ lúc nào, bệnh viện đã hội chẩn chuyên gia từ Bệnh viện K . Kết luận xác định đây là u máu Amidan trái, thuộc dạng dị dạng mạch máu lành tính nhưng có thể gây biến chứng nguy hiểm nếu không xử trí sớm.
Các bác sĩ Khoa Tai Mũi Họng đã nhanh chóng lên kế hoạch phẫu thuật cắt amydal trái cùng khối u bằng dao Ligasure – một thiết bị phẫu thuật tiên tiến giúp giảm tổn thương mô và hạn chế chảy máu trong và sau mổ. Toàn bộ khối u cùng amydal được gửi làm giải phẫu bệnh để xác định chính xác bản chất tổn thương.
Sau phẫu thuật, bệnh nhi được theo dõi sát sao hằng ngày. Vết mổ tiến triển tốt, không chảy máu, ít đau, bệnh nhân ăn uống được và hồi phục nhanh. Sau 5 ngày điều trị, bệnh nhi được ra viện trong tình trạng ổn định, tinh thần vui vẻ, sinh hoạt bình thường.
Hốc mổ sau khi cắt khối u và Amidan bên trái bằng dao Ligasure
BSCKII Nguyễn Anh Dũng – Trưởng khoa Tai mũi họng, Bệnh viện Đa khoa Hà Đông chia sẻ, u máu Amidan là một dạng dị dạng mạch máu lành tính, không phải khối u ác tính. Bệnh thường phát triển chậm, ít triệu chứng ở giai đoạn đầu, do đó dễ bị bỏ qua. Tuy nhiên, khi khối u lớn, người bệnh có thể gặp các biến chứng như:
Chảy máu tái diễn hoặc chảy máu nhiều, gây thiếu máu;
Khó nuốt, khó thở do khối u chèn ép đường hô hấp;
Khối u lan rộng, làm phẫu thuật trở nên phức tạp hơn.
Bác sĩ Dũng cũng đưa ra khuyến cáo: khi có các biểu hiện như nuốt vướng, nuốt đau, khạc ra máu, ngủ ngáy to bất thường hoặc cảm giác nghẹn họng kéo dài, người dân cần đi khám Tai Mũi Họng sớm để được nội soi, chẩn đoán và điều trị kịp thời. Phát hiện sớm giúp điều trị đơn giản, ít biến chứng và hạn chế nguy cơ chảy máu nguy hiểm. Khoa Tai Mũi Họng – Bệnh viện Đa khoa Hà Đông luôn sẵn sàng đồng hành cùng người dân trong việc bảo vệ sức khỏe tai mũi họng.