Nút mạch gan: Phương pháp điều trị Ung thư gan
Nút mạch gan: Phương pháp điều trị Ung thư gan
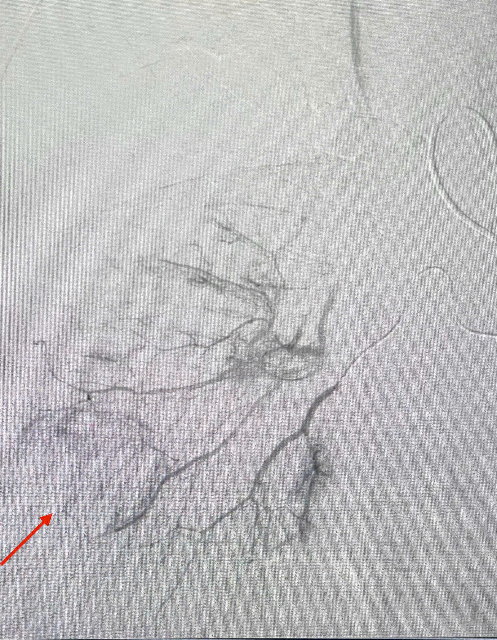
Dưới hướng dẫn của hệ thống máy chụp DSA tiên tiến, hiện đại, giúp bác sĩ tiếp cận và sử dụng các vật liệu thuyên tắc mạch ngắt nguồn nuôi khối u.
Phương pháp này giúp kiểm soát sự phát triển khối u, đồng thời kéo dài sự sống và cải thiện chất lượng sống cho người bệnh. Nút mạch gan chỉ can thiệp tối thiểu, có chọn lọc, do đó bảo tồn được tối đa mô gan lành, giúp người bệnh duy trì được chức năng gan cần thiết cho các hoạt động của cơ thể.
Trường hợp được chỉ định nút mạch gan:
- Áp dụng cho ung thư gan nguyên phát hoặc thứ phát, u lớn hoặc nhiều khối u không thể phẫu thuật.
Lợi ích phương pháp này mang lại:
Đây là phương pháp điều trị hiện đại, can thiệp xâm nhập tối thiểu với nhiều ưu điểm vượt trội như:
- Thời gian thực hiện ngắn: Chỉ khoảng 45 phút cho can thiệp nút mạch;
- Vết luồn dụng cụ can thiệp rất nhỏ, chỉ tương đương đầu kim lấy thuốc;
- Trong quá trình thực hiện thủ thuật, người bệnh hoàn toàn tỉnh táo;
- Độ an toàn cao, ít gây tai biến và ít tác dụng phụ so với các cuộc đại phẫu cắt gan thông thường;
- Thời gian nằm viện ngắn (có thể áp dụng cho bệnh nhân ngoại trú);
- Kéo dài thời gian sống thêm và nâng cao chất lượng sống cho bệnh nhân.
Tác dụng phụ:
Có thể xuất hiện "hội chứng sau nút mạch" như sốt nhẹ, đau bụng, buồn nôn.
Lưu ý sau điều trị:
Người bệnh cần nghỉ ngơi, theo dõi sốt, ăn thức ăn dễ tiêu, và tái khám định kỳ để đánh giá sự phát triển của khối u.

Hình ảnh: nút mạch u gan tại bệnh viện