Hi hữu nam bệnh nhân gãy cùng lúc hai xương đòn sau va chạm xe máy
Hi hữu nam bệnh nhân gãy cùng lúc hai xương đòn sau va chạm xe máy
Tai nạn giao thông là nguyên nhân thường gặp của gãy xương đòn. Tuy nhiên, gãy đồng thời cả hai xương đòn ở cùng một bệnh nhân lại là tổn thương hiếm gặp. Trường hợp nam bệnh nhân 59 tuổi tại Bệnh viện Đa khoa Hà Đông cho thấy sau va chạm mạnh, đau vùng vai – đòn tuyệt đối không nên chủ quan.
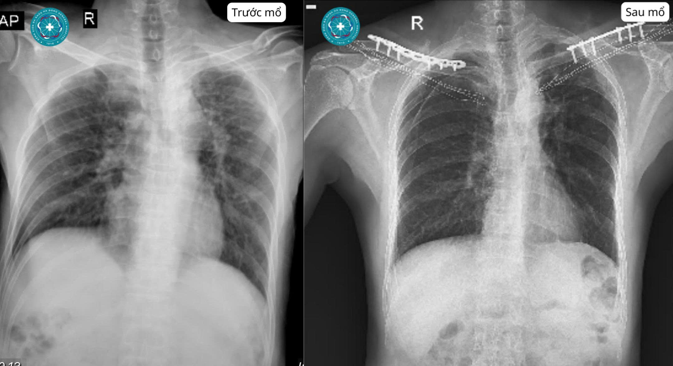
Tại Bệnh viện Đa khoa Hà Đông, một bệnh nhân nam 59 tuổi (Vĩnh Tuy - Hà Nội ) được tiếp nhận sau tai nạn giao thông giữa xe máy và ô tô. Sau va chạm, người bệnh đau nhiều vùng hai vai, hạn chế vận động hai tay, vùng vai – đòn sưng nề và bầm tím rõ. Hình ảnh X-quang cho thấy bệnh nhân bị gãy xương đòn hai bên.
Điểm đặc biệt của ca bệnh nằm ở chỗ cơ chế chấn thương là tai nạn giao thông khá phổ biến, nhưng tổn thương lại không phổ biến. Trong thực tế lâm sàng, người bệnh sau tai nạn kiểu này thường gặp hơn ở hai nhóm: đa chấn thương phức tạp hoặc gãy một xương đòn đơn thuần. Gãy đồng thời cả hai xương đòn là tình huống hiếm, dễ gây đau nhiều và làm suy giảm rõ chức năng của cả vành đai vai.
BSCKII Trần Quang Toản, Trưởng khoa Chấn thương Chỉnh hình, Bệnh viện Đa khoa Hà Đông, cho biết: “Trong gần 30 năm hành nghề, đây mới là ca thứ hai tôi gặp bệnh nhân gãy đồng thời cả hai xương đòn. Điều đặc biệt là cơ chế tai nạn giao thông thì rất thường gặp, nhưng kiểu tổn thương này lại hiếm gặp trong thực hành lâm sàng.”
Theo bác sĩ Toản, chính sự “quen thuộc” của cơ chế tai nạn đôi khi khiến người bệnh hoặc người xung quanh dễ chủ quan, trong khi mức độ tổn thương thực tế có thể nặng hơn nhiều so với biểu hiện ban đầu. Vì vậy, sau tai nạn, người có đau vùng vai – đòn, hạn chế vận động tay hoặc bầm tím lan rộng cần được thăm khám và chụp phim sớm để không bỏ sót chấn thương.
Xương đòn có vai trò như một “thanh chống” giúp giữ khung vai ổn định và truyền lực giữa thân mình với chi trên. Khi cả hai bên cùng gãy, người bệnh không chỉ đau mà còn rất khó thực hiện những sinh hoạt cơ bản như ngồi dậy, đổi tư thế, tự chăm sóc cá nhân hay đưa tay lên cao. Nói cách khác, đây không phải là một ca gãy xương đòn “nhân đôi” đơn giản, mà là chấn thương có thể ảnh hưởng đáng kể đến vận động và sinh hoạt hằng ngày.

Hình X-quang trước mổ và sau mổ cho thấy tổn thương gãy xương đòn hai bên đã được kết hợp xương bằng nẹp vít. Thông tin định danh người bệnh đã được che bỏ.
Với dạng tổn thương này, điều quan trọng không chỉ là xác định ổ gãy mà còn phải đánh giá đầy đủ để tránh bỏ sót chấn thương phối hợp ở lồng ngực, cột sống cổ, khớp vai, mạch máu và thần kinh. Sau khi thăm khám, làm cận lâm sàng cần thiết và cân nhắc chỉ định điều trị, bệnh nhân được phẫu thuật kết hợp xương đòn hai bên.
Hình ảnh sau mổ cho thấy hai xương đòn đã được nắn chỉnh và cố định tương đối vững bằng nẹp vít. Vết mổ hai bên khô, mép da áp tốt. Đây là nền tảng quan trọng để người bệnh giảm đau, thuận lợi hơn cho chăm sóc sau mổ và từng bước tập phục hồi chức năng vai.
Theo các bác sĩ, với những trường hợp gãy xương đòn di lệch nhiều, gãy hai bên hoặc cần sớm phục hồi chức năng, điều trị phẫu thuật có thể mang lại lợi ích rõ rệt: giúp khôi phục trục giải phẫu, tạo vững chắc cho ổ gãy và hỗ trợ quá trình vận động sớm theo hướng dẫn chuyên môn.
Điều đáng lưu ý là không ít người sau tai nạn vẫn cố chịu đau nếu còn tỉnh táo, không có vết thương hở hoặc vẫn tự đi lại được. Tuy nhiên, với chấn thương vùng vai – ngực, các dấu hiệu như đau chói vùng xương đòn, sưng nề, bầm tím, vai xệ, đau tăng khi cử động tay, không nâng được tay hoặc kèm khó thở đều là lý do cần đến cơ sở y tế sớm.
Dấu hiệu sau tai nạn không nên chủ quan
Đau dữ dội vùng vai – xương đòn sau va chạm.
Sưng nề, bầm tím, biến dạng một hoặc hai bên vai.
Không nâng được tay, đau tăng khi cử động.
Tê yếu tay, khó thở, tức ngực hoặc đau lan vùng cổ – ngực.
Triệu chứng tăng dần dù ban đầu tưởng chỉ là chấn thương phần mềm.
Trường hợp bệnh nhân gãy cùng lúc hai xương đòn là minh chứng rằng một tai nạn quen thuộc vẫn có thể tạo ra tổn thương không quen thuộc. Việc thăm khám sớm, chụp phim đúng chỉ định và xử trí kịp thời đóng vai trò quyết định trong phát hiện tổn thương, lựa chọn phương án điều trị và phục hồi chức năng cho người bệnh.
Từ ca bệnh này, thông điệp quan trọng dành cho cộng đồng là: sau tai nạn giao thông, nếu xuất hiện đau vùng vai – đòn hoặc hạn chế vận động tay, người dân nên đến bệnh viện để được thăm khám bài bản, tránh bỏ sót tổn thương và làm chậm thời điểm điều trị.